Полуев Владимир Иванович — цены, отзывы, стаж — Принимает в Алматы

Полуев Владимир Иванович

Полуев Владимир Иванович - фотография

5.0
Рейтинг: 5.0
Отзывов: 8
Положительных: 8
Отрицательных: 0
Последний : 43 дн. назад
8 отзывов
2 место в рейтинге
стоматолог-ортопед
стоматолог-ортодонт
стоматолог-хирург
стоматолог-имплантолог
гнатолог
Стаж 33 года
главный врач
Полуев Владимир Иванович принимает в «DR. POLUYEV DENTAL CLINIC» в Алматы. Главный врач, стаж 33 года. Специализируется на ортопедии, ортодонтии, хирургии, имплантологии и гнатологии, по которым клиника оказывает 17 услуг. Имеет 10 работ до/после в портфолио. Квалификация специалиста подтверждена 32 лицензиями, сертификатами и наградами. Для уточнения дополнительной информации о специалисте или записи на прием можно позвонить по телефону
+7 (747)Показать телефон
. Занимает 2 место в рейтинге стоматологов вашего города.

Где принимает:

2 место в рейтинге
10 работ в портфолио
32 сертификата
Главный врач
Опыт 33 года
4 видеоотзыва

Отзывы о враче Полуев Владимир Иванович

Рейтинг: 5
Отзывов: 8
Положительных: 8
Отрицательных: 0
Последний: 43 дн. назад
5.0
Пациенты отмечают:
Профессионализм
Вежливость
Подробные объяснения
Тщательный осмотр
Аккуратность
Лечение помогло
Почему нашим отзывам можно доверять?
18 марта 2026 г.
1 2 3 4 5
Я обратилась в клинику к доктору Полуеву с сильными щелчками в челюсти и постоянными головными болями. Мне диагностировали проблемы с ВНЧС. Врач подробно объяснил план лечения, показал варианты. В этой клинике я прошла всё: сплинт-терапию, брекеты, сложное удаление корня и наращивание костной ткани, лечение зубов, установку импланта, установку виниров. Все эти процедуры прошли аккуратно и без осложнений. Я избавилась от щелчков, забыла про боли и к тому же обрела красивую улыбку. Это прекрасная клиника с индивидуальным подходом, где в одном месте можно сделать всё. Врачи профессионалы, внимательны. Администраторы клиники вежливые,приветливые, всегда напоминают о записи (за сутки и за 2 часа до приема). Клиника чистая,оборудование современное. Я очень довольна результатом. Всем буду рекомендовать клинику доктора Полуева
Здравствуйте! Благодарим вас за такой подробный и искренний отзыв! Очень ценно, что вы доверили нам такой комплексный путь лечения и прошли его вместе с нашей командой. Спасибо, что отметили внимательное отношение врачей, работу администраторов и оснащение клиники — для нас это действительно важно. Ваши слова — большая поддержка для всей команды. Благодарим за доверие и рекомендации, всегда рады видеть вас! С уважением, Команда Dr. Poluyev dental clinic
6 мая 2025 г.
1 2 3 4 5
Ставил у него 4 импланта на верхней челюсти в 2003году с синус-лифтингом, до сих пор нет ни каких нареканий. Сейчас живу в Германии и когда приезжаю в Алматы к родителям всегда захожу к Владимиру Ивановичу на обследование. Хочу сказать в Германии врачи такого уровня стоят не реальных денег. Рекомендую этого доктора!
Здравствуйте! Огромное спасибо за доверие и приятные слова! Нам очень приятно, что даже спустя годы и находясь в другой стране, вы продолжаете обращаться именно к нам. Это лучшая оценка нашей работы! Всегда будем рады помочь Вам! С уважением, Команда Dr. Poluyev dental clinic
30 апреля 2025 г.
1 2 3 4 5
Замечательный врач! Владимир Иванович поставил мне импланты, операция прошла быстро, легко и профессионально, я не почувствовала никакого дискомфорта! Спасибо вам большое! Клиника у вас очень уютная и большая, на ресепшене приветливые администраторы. Очень довольна и результатом и клиникой в целом!
Здравствуйте! Большое спасибо за ваш отзыв! Мы очень рады, что операция прошла так успешно и комфортно для вас. Ваши слова вдохновляют нас продолжать работать на высшем уровне. Будем всегда рады видеть вас в нашей клинике! С уважением, Команда Dr. Poluyev dental clinic
28 апреля 2025 г.
1 2 3 4 5
Лечусь сейчас у гнатолога Владимира Ивановича. Боль, которая так долго мучила меня, наконец-то ушла — это огромное облегчение, конечно лечение еще в процессе, но уже такой результат это такая радость для меня!! Спасибо вам за профессионализм и поддержку!
Здравствуйте! Спасибо огромное за ваш отзыв! Очень приятно слышать, что вы уже ощущаете облегчение. Владимир Иванович и вся команда клиники всегда нацелены на комфорт и здоровье наших пациентов. Желаем вам дальнейшего успеха в лечении и всегда рады быть вам полезными! С уважением, Команда Dr. Poluyev dental clinic
28 октября 2024 г.
1 2 3 4 5
Была в клинике доктора Полуева и прошла обследование у врача гнатолога Владимира Ивановича. Мне очень понравился врач, все объяснил, показал очень грамотный врач. Теперь я понимаю из-за чего у меня эти невыносимые боли в суставах. Я в молодости носила брекеты, но ничего не помогло, а с годами только стало хуже, а теперь я нашла врача кто мне поможет, записалась к вам на полное обследование!
Полуев Владимир Иванович
18 ноября 2024 г.
Здравствуйте! Спасибо большое нам очень приятно слышать такие добрые слова! Мы стремимся предоставлять нашим пациентам наилучшее обследование и лечение. Здоровье ваших зубов - наш приоритет! Ждем и всегда будем рады видеть вас!
26 октября 2024 г.
1 2 3 4 5
Огромное спасибо вам Владимир Иванович! Только вы смогли помочь мне. Уже на протяжении долгого времени у меня что-то хрустела в челюсти и начались боли в суставах, с трудом открывала рот это большой дискомфорт вызывало, и я решилась на лечение, доктор очень внимательный и грамотный, провел диагностику, снимки, ходила со специальным сплинтом. Вообщем сейчас у меня нет болей, нет того ужасного дискомфорта я безумно счастлива, что пришла именно к вам!! Вы лучший гнатолог!!!
Полуев Владимир Иванович
30 ноября 2024 г.
Здравствуйте! Благодарим Вас за теплый отзыв и за выбор нашей клиники! Мы всегда стараемся обеспечить нашим пациентам качественное и бережное лечение. Мы рады, что смогли помочь Вам и улучшить ваше самочувствие!
3 июня 2024 г.
1 2 3 4 5
Первый мой имплант Полуев В.И. поставил мне 15 лет назад. Ситуация была очень сложная, нужно было делать синус-лифтинг. После этого уже было ещё несколько имплантов и коронок и всё это великолепно служит. Недавно привел на имплантацию свою жену. Был приятно удивлен, что уровень врача и клиники стал еще выше. Считаю его лучшим имплантологом и стоматологом в Казахстане. Всем рекомендую!
Здравствуйте! Спасибо большое Вам за отзыв и за высокую оценку нашей работы! Нам очень приятно получать обратную связь!
2 июня 2024 г.
1 2 3 4 5
Я очень вам благодарна Владимир Иванович! Вы сделали мою улыбку идеальной, так как я и хотела! Импланты прижились без всяких проблем, а коронки циркониевые, что вы поставили даже не отличить от родных зубов настолько всё естественно и идеально! Попала к вам совершенно случайно и ни разу не пожалела. Спасибо Вам и всему вашему коллективу!
Здравствуйте! Благодарим Вас за отзыв, нам очень приятно получать обратную связь! Мы очень рады, что Вам все понравилось!
    Помогите другим сделать правильный выбор — оставьте свой отзыв о докторе
    Написать отзыв

    Услуги врача (90)

    Диагностика
    Рентген зубов
    от 10 000 ₸
    Консультация стоматолога
    от 20 000 ₸
    Консультация ортодонта
    от 20 000 ₸
    Еще услуги
    Терапевтическая стоматология
    Лечение кариеса
    от 45 000 ₸ за 1 зуб
    Лечение кариеса ICON
    от 35 000 ₸ за 1 зуб
    Лечение поверхностного кариеса
    Еще услуги
    Эстетическая стоматология
    Установка виниров
    от 200 000 ₸
    Хирургическая стоматология
    Удаление зубов
    от 60 000 ₸
    Удаление зуба мудрости
    от 100 000 ₸
    Сложное удаление зуба
    от 150 000 ₸
    Еще услуги
    Протезирование зубов
    Установка коронки на зуб
    Ремонт зубных протезов
    Установка адгезивного мостовидного протеза
    Еще услуги
    Ортодонтия
    Установка брекетов
    от 700 000 ₸
    Снятие брекетов
    Установка элайнеров
    от 2 400 000 ₸ за обе челюсти
    Еще услуги
    Имплантация
    Швейцарские импланты зубов
    от 450 000 ₸
    Корейские импланты зубов
    от 250 000 ₸
    Установка импланта Osstem
    от 250 000 ₸
    Еще услуги
    Все цены носят ознакомительный характер. Точную цену вы сможете получить только после консультации специалиста.
    Звоните по телефону:
    +7 (747)Показать телефон

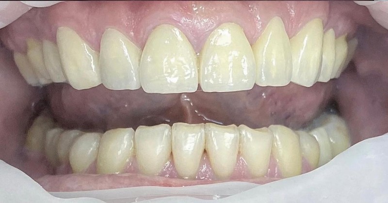
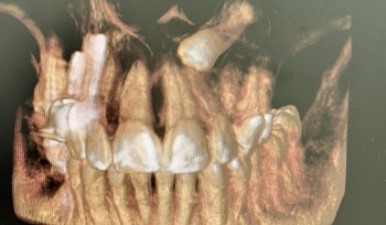
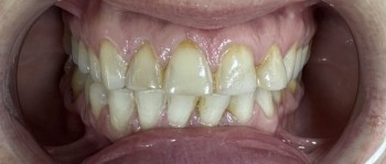
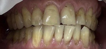
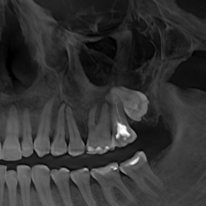
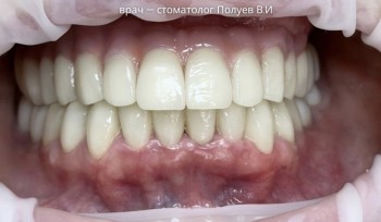
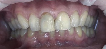
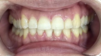
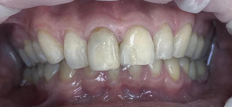
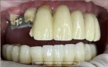
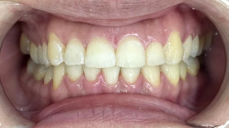
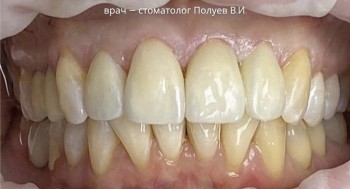
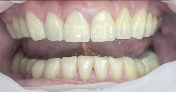
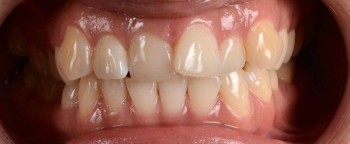
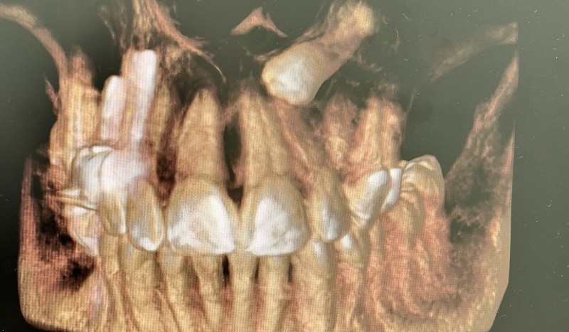
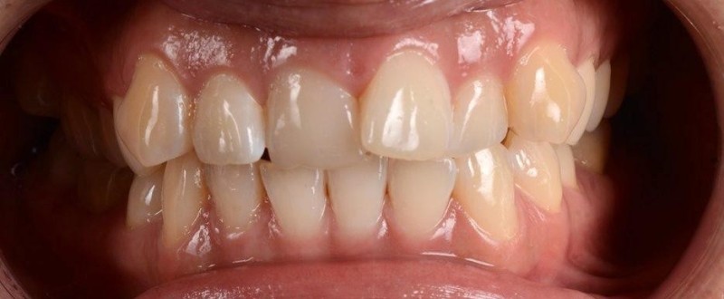
    Полуев Владимир Иванович: портфолио (10)