Касумов Рамин Эльдарович — цены, отзывы, стаж — Принимает в Алматы

Касумов Рамин Эльдарович

Касумов Рамин Эльдарович - фотография
стоматолог-терапевт
стоматолог-ортопед
стоматолог-ортодонт
стоматолог-гигиенист
стоматолог-имплантолог
Стаж 10 лет
6 сертификатов
2 работы в портфолио
2 видеоотзыва
Опыт 10 лет

О стоматологе

С 3 курса ассистировал челюстно-лицевому хирургу и практиковался в имплантологии. Успешно окончил курсы по имплантологии, а так же прошёл полное руководство по препарированию под виниры у М.Белоград. Каждый день совершенствуюсь и обучаюсь у зарубежных специалистов. В своей работе, я считаю, превыше всего это любовь к своему делу, к каждому клиническому случаю подхожу с особой внимательностью и делаю свою работу максимально качественно. Я стараюсь идти в ногу со временем, осваивая новые тенденции в стоматологии, которая развивается с каждым днём.

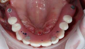
Касумов Рамин Эльдарович: портфолио (2)

Отзывы о враче Касумов Рамин Эльдарович

Почему нашим отзывам можно доверять?
25 сентября 2023 г.
1 2 3 4 5
Рамин Эльдарович, сделал качественную чистку! Зубы сверкают. Обещала не пропускать, в следующий раз приду на плазмолифтинг десен. Пока ждем, сказал не торопится
Касумов Рамин Эльдарович
14 октября 2023 г.
Здравствуйте! Спасибо вы Вашу оценку, Будем вас ждать снова, в нашей клинике Demokrat
    Помогите другим сделать правильный выбор — оставьте свой отзыв о докторе
    Написать отзыв

    Услуги стоматолога в других клиниках

    Терапевтическая стоматология
    Лечение кариеса от 10 000 ₸ до 303 000 ₸
    Лечение пульпита от 22 500 ₸ до 120 000 ₸
    Еще услуги
    Протезирование зубов
    Установка коронки на зуб от 7 000 ₸ до 400 000 ₸
    Виды протезов
    Еще услуги
    Ортодонтия
    Установка брекетов от 60 000 ₸ до 700 000 ₸
    Снятие брекетов от 12 000 ₸ до 30 000 ₸
    Еще услуги
    Имплантация
    Установка мини-импланта от 51 000 ₸ до 60 000 ₸
    Коронки на имплантах от 45 000 ₸ до 360 000 ₸
    Еще услуги
    Профгигиена
    Герметизация фиссур от 9 000 ₸ до 30 000 ₸