Давыдова Татьяна Игоревна — цены, отзывы, стаж — Принимает в Алматы

Давыдова Татьяна Игоревна

Давыдова Татьяна Игоревна - фотография

5.0
Рейтинг: 5.0
Отзывов: 17
Положительных: 17
Отрицательных: 0
Последний : 246 дн. назад
17 отзывов
стоматолог-ортодонт
гнатолог
детский ортодонт
Стаж 28 лет
к.м.н., врач высшей категории
Давыдова Татьяна Игоревна принимает в «Стоматологическая клиника DEMOKRAT» в Алматы. К.м.н., врач высшей категории, стаж 28 лет. Специализируется на ортодонтии и гнатологии, по которым клиника оказывает 13 услуг. Имеет 3 работы до/после в портфолио. Квалификация специалиста подтверждена 13 лицензиями, сертификатами и наградами, а опыт 17 отзывами пациентов, из которых 17 положительные. Для уточнения дополнительной информации о специалисте или записи на прием можно позвонить по телефону
+7 (707)Показать телефон
. Занимает 13 место в рейтинге стоматологов вашего города.

Где принимает:

13 сертификатов
Врач высшей категории
Кандидат мед.наук
Опыт 28 лет
1 видеоотзыв
Топ 20 в рейтинге

Отзывы о враче Давыдова Татьяна Игоревна

Рейтинг: 5
Отзывов: 17
Положительных: 17
Отрицательных: 0
Последний: 246 дн. назад
5.0
Пациенты отмечают:
Профессионализм
Вежливость
Подробные объяснения
Тщательный осмотр
Аккуратность
Лечение помогло
Почему нашим отзывам можно доверять?
27 августа 2025 г.
1 2 3 4 5
Все понравилось, благодарю за оказанное качественное лечение
18 июля 2025 г.
1 2 3 4 5
У меня самый лучший врач! Татьяна Игоревна врач от Бога!!! Спустя три месяца работы, у меня есть результат. Всем рекомендую данного врача
2 июля 2025 г.
1 2 3 4 5
Прекрасная врач, профессионал. Сопровождала моё ортодонтическое лечение 1,5 года. Я Носила элайнеры Invisalign. Эстетично, удобно, минимум визитов к врачу. Татьяна Игоревна всегда на связи. Ожидания = реальность. Результат Благодарю
20 июня 2025 г.
1 2 3 4 5
К Татьяне Игоревне на прием попал случайно, без рекомендаций - просто записался на прием к ортодонту в ближайшую стоматологию. Предложила выравнивание зубов - брекетами либо элайнерами. Выбрал брекет-систему, показалась более надежным решением с точки зрение инженера. Приемы не пропускал, следовал всем ЦУ. Несколько раз отклеивались брекеты от зубов - всегда удавалось попасть на прием в тот же или на следующий день, подклеивали на место без последствий и без дополнительных трат. Несмотря на возраст (32г), все выравнивание с установленной брекет-системой продлилось 14 месяцев. Результатом доволен, могу рекомендовать Татьяну Игоревну как специалиста.
20 июня 2025 г.
1 2 3 4 5
Татьяна Игоревна наш семейный стоматолог, мы полностью доверяем ее професионализму, благодарю нашему доктору у меня и у детей здоровые зубки и красивая улыбка
18 июня 2025 г.
1 2 3 4 5
Прекрасный и аккуратный врач Прием проходит всегда комфортно
18 июня 2025 г.
1 2 3 4 5
Хочу выразить огромную благодарность Татьяна Ингоревне. Очень внимательный, чуткий и профессиональный специалист.
7 июня 2025 г.
1 2 3 4 5
Татьяна Игоревна замечательный врач, Профессионал с большой буквы!! Очень внимательная, обходительная, все понятно разъяснит и покажет. Единственный стоматолог к которому дочь ходила на приёмы с удовольствием!!
4 июня 2025 г.
1 2 3 4 5
Проходила лечение с капами Invisalign, всё очень понравилось.Зубы ровные, прикус исправили, результатом полностью довольна. Спасибо за профессионализм и внимательное отношение!
30 мая 2025 г.
1 2 3 4 5
Прием прошел отлично, доктор все хорошо корректно рассказала , очень понравилась консультация , советую
    Помогите другим сделать правильный выбор — оставьте свой отзыв о докторе
    Написать отзыв

    Услуги врача (30)

    Ортодонтия
    Установка брекетов
    от 170 000 ₸ до 250 000 ₸ за 1 челюсть
    Снятие брекетов
    Установка элайнеров
    от 880 000 ₸ до 3 100 000 ₸ за обе челюсти
    Еще услуги
    Детская стоматология
    Удаление зубов у детей
    от 11 000 ₸ за 1 зуб
    Удаление зубов под наркозом у детей
    Лечение молочных зубов
    Еще услуги
    Все цены носят ознакомительный характер. Точную цену вы сможете получить только после консультации специалиста.
    Звоните по телефону:
    +7 (707)Показать телефон

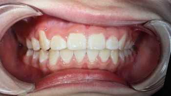
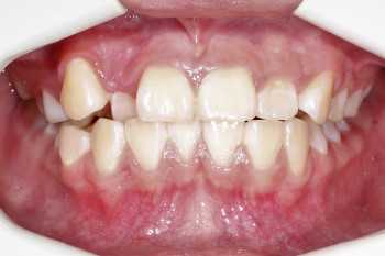
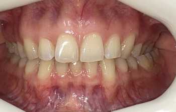
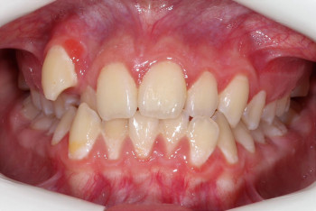
    Давыдова Татьяна Игоревна: портфолио (3)