Берданов Расул Русланович — цены, отзывы, стаж — Принимает в Алматы

Берданов Расул Русланович

Берданов Расул Русланович - фотография
стоматолог-терапевт
стоматолог-ортопед
стоматолог-ортодонт
стоматолог-хирург
Стаж 10 лет
врач высшей категории
Берданов Расул Русланович принимает в «Сеть стоматологических клиник DOBRO DENT» в Алматы. Врач высшей категории, стаж 10 лет. Специализируется на терапии, ортопедии, ортодонтии и хирургии, по которым клиника оказывает 40 услуг. Имеет 8 работ до/после в портфолио. Для уточнения дополнительной информации о специалисте или записи на прием можно позвонить по телефону
+7 (775)Показать телефон
.

Где принимает:

Врач высшей категории
8 работ в портфолио
Опыт 10 лет
    Помогите другим сделать правильный выбор — оставьте свой отзыв о докторе
    Написать отзыв

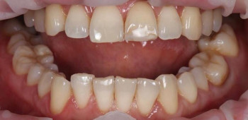
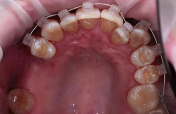
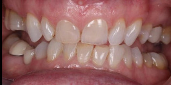
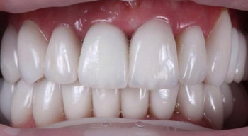
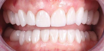
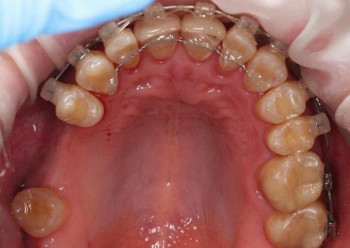
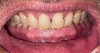
    Берданов Расул Русланович: портфолио (8)

    Услуги стоматолога в других клиниках

    Терапевтическая стоматология
    Лечение кариеса от 10 000 ₸ до 303 000 ₸
    Лечение пульпита от 22 500 ₸ до 120 000 ₸
    Еще услуги
    Эстетическая стоматология
    Установка виниров от 20 000 ₸ до 227 500 ₸
    Установка люминиров от 270 000 ₸
    Еще услуги
    Хирургическая стоматология
    Удаление зубов от 5 000 ₸ до 60 000 ₸
    Лоскутные операции от 96 950 ₸ до 101 490 ₸
    Еще услуги
    Протезирование зубов
    Установка коронки на зуб от 7 000 ₸ до 400 000 ₸
    Виды протезов
    Еще услуги
    Ортодонтия
    Установка брекетов от 60 000 ₸ до 700 000 ₸
    Снятие брекетов от 12 000 ₸ до 30 000 ₸
    Еще услуги