Ким Владимир Викторович — цены, отзывы, стаж — Принимает в Алматы

Ким Владимир Викторович

Ким Владимир Викторович - фотография

3.5
Рейтинг: 3.5
Отзывов: 2
Положительных: 1
Отрицательных: 1
Последний : 202 дн. назад
2 отзыва
стоматолог-ортодонт
Стаж 16 лет
главный врач
Ким Владимир Викторович принимает в «Стоматология ORTHO STORY» в Алматы. Главный врач, стаж 16 лет. Специализируется на ортодонтии, по которой клиника оказывает 12 услуг. Имеет 14 работ до/после в портфолио. Квалификация специалиста подтверждена 8 лицензиями, сертификатами и наградами. Для уточнения дополнительной информации о специалисте или записи на прием можно позвонить по телефону
+7 (707)Показать телефон
. Занимает 4 место в рейтинге стоматологов-ортодонтов 32top в вашем городе.

Где принимает:

14 работ в портфолио
Топ 30 в рейтинге
Главный врач
8 сертификатов
Опыт 16 лет

О стоматологе

Вот как такого врача «бояться»! Знакомьтесь, наш Врач стоматолог-ортодонт - Владимир Викторович! За свою карьеру (длиной 12 лет) он уже успел закончить более 700 сложных случаев! И, как Вы уже поняли, он и есть основатель ORTHO STORY! Мы думаем, что важно знать владельца заведения. Тогда есть возможность держать контроль качества на высшем уровне! Если спросить у Владимира Викторовича, с каким случаем к нему можно обратиться, он обязательно ответит: "Занимаюсь исправлением прикуса детей и взрослых. Также веду прием детей с врожденными патологиями челюстно-лицевой области. Ежегодно прохожу обучение у ведущих специалистов в области ортодонтии". Хочется отметить, что знания были накоплены постоянным повышением квалификации в Израиле, Беларуси, России, ОАЭ.

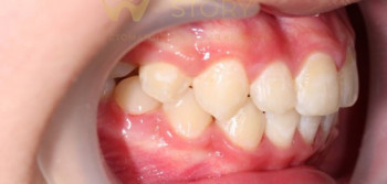
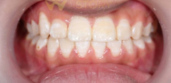
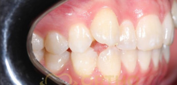
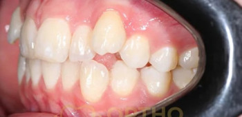
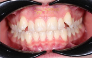
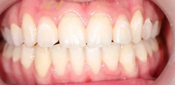
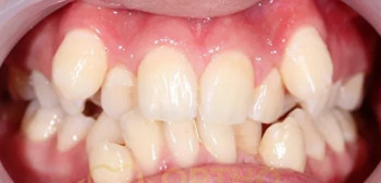
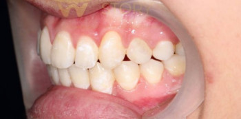
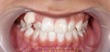
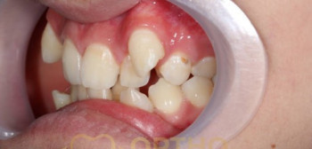
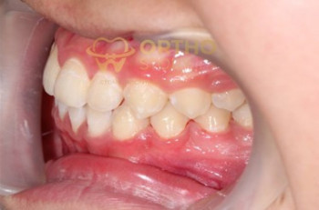
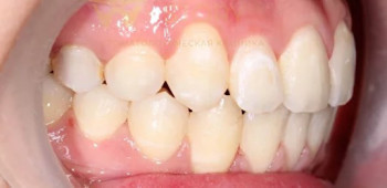
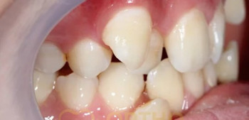
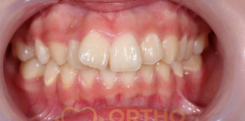
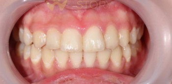
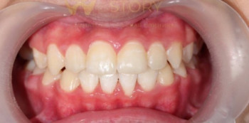
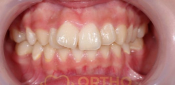
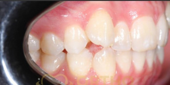
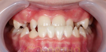
Ким Владимир Викторович: портфолио (14)

Отзывы о враче Ким Владимир Викторович

Рейтинг: 3.5
Отзывов: 2
Положительных: 1
Отрицательных: 1
Последний: 202 дн. назад
3.5
Почему нашим отзывам можно доверять?
23 октября 2025 г.
1 2 3 4 5
Вылечили зубы, поставили брекеты, минус 2 года моей жизни, потом поставили импланты= конечный результат таков: верхние зубы с правой стороны выпирают и портят улыбку. Обидно что это все можно было сделать красиво и аккуратно, но зачем если это лишняя марока. Другие клиники говорят понадобиться более 2-х лет что бы всё исправить… тьфу
4 октября 2023 г.
1 2 3 4 5
Хочу выразить огромную благодарность врачу Владимиру Викторовичу! Прекрасный врач, профессионал своего дела, умеет найти подход к любому пациенту. Ребенок без страха идет на прием, зная что его стоматолог очень добрый. Я как мама, могу сказать, что профессиональнее врача не встречала. Очень рада, что выбрала именно эту клинику ❤️
    Помогите другим сделать правильный выбор — оставьте свой отзыв о докторе
    Написать отзыв

    Услуги стоматолога в других клиниках

    Ортодонтия
    Установка брекетов от 60 000 ₸ до 700 000 ₸
    Снятие брекетов от 12 000 ₸ до 30 000 ₸
    Еще услуги