Рахимов Дияр Рустамович — цены, отзывы, стаж — Принимает в Алматы

Рахимов Дияр Рустамович

Рахимов Дияр Рустамович - фотография
стоматолог-терапевт
Стаж 7 лет
Опыт 7 лет
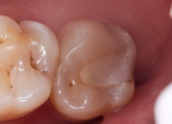
2 работы в портфолио

О стоматологе

Исмаилов Вяли Муслимович — врач-стоматолог терапевт. Образование: Казахский национальный медицинский университет им. С. Д. Асфендиярова. Посетил практические курсы: прямая реставрация дистальных отделов, рецептура слоев, закрытие диастем. Адгезивные протоколы В. Щербаков восстановление контактных пунктов III, IV классы М.Логвиненко.

Рахимов Дияр Рустамович: портфолио (2)

Отзывы о враче Рахимов Дияр Рустамович

Почему нашим отзывам можно доверять?
20 февраля 2025 г.
1 2 3 4 5
Добрый вечер! Была на лечении у Диляра Рустамовича , всё прошло просто супер! А главное без боли Все приветливые, очень приятная обстановка в клинике
    Помогите другим сделать правильный выбор — оставьте свой отзыв о докторе
    Написать отзыв

    Услуги стоматолога в других клиниках

    Терапевтическая стоматология
    Лечение кариеса от 10 000 ₸ до 303 000 ₸
    Лечение пульпита от 22 500 ₸ до 120 000 ₸
    Еще услуги