Толегенов Жасулан Толегенович — цены, отзывы, стаж — Принимает в Алматы

Толегенов Жасулан Толегенович

Толегенов Жасулан Толегенович - фотография
стоматолог-ортопед
стоматолог-хирург
стоматолог-имплантолог
Стаж 7 лет
Опыт 7 лет
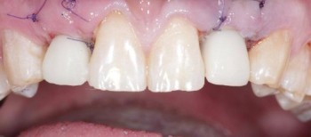
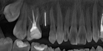
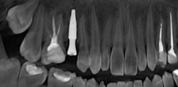
4 работы в портфолио

О стоматологе

Толегенов Жасулан Толегенович — врач-стоматолог ортопед. Образование: Казахский Национальный Медицинский Университет им С. Д. Асфендиярова. Проходил обучение и повышение квалификации в таких странах как ОАЭ, Украина и Россия. Стаж работы более 5 лет. Основная специализация — хирургия.

Толегенов Жасулан Толегенович: портфолио (4)

    Помогите другим сделать правильный выбор — оставьте свой отзыв о докторе
    Написать отзыв

    Услуги стоматолога в других клиниках

    Хирургическая стоматология
    Удаление зубов от 5 000 ₸ до 60 000 ₸
    Лоскутные операции от 96 950 ₸ до 101 490 ₸
    Еще услуги
    Протезирование зубов
    Установка коронки на зуб от 7 000 ₸ до 400 000 ₸
    Виды протезов
    Еще услуги
    Имплантация
    Установка мини-импланта от 51 000 ₸ до 60 000 ₸
    Коронки на имплантах от 45 000 ₸ до 360 000 ₸
    Еще услуги