Полуева Валерия Владимировна — цены, отзывы, стаж — Принимает в Алматы

Полуева Валерия Владимировна

Полуева Валерия Владимировна - фотография
стоматолог-ортопед
стоматолог-ортодонт
гнатолог
детский ортодонт
Стаж 8 лет
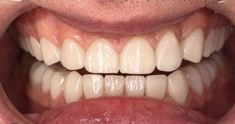
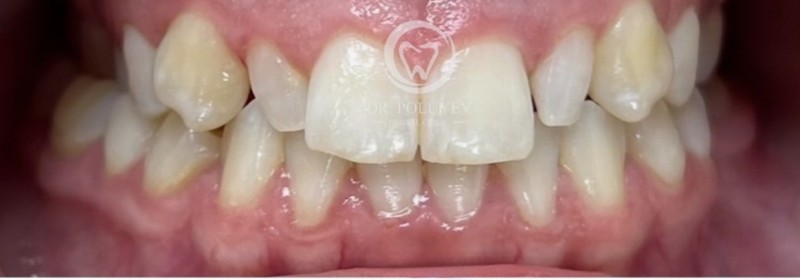
Полуева Валерия Владимировна принимает в «DR. POLUYEV DENTAL CLINIC» в Алматы. Стаж 8 лет. Специализируется на ортопедии, ортодонтии и гнатологии, по которым клиника оказывает 9 услуг. Имеет 7 работ до/после в портфолио. Квалификация специалиста подтверждена 11 лицензиями, сертификатами и наградами. Для уточнения дополнительной информации о специалисте или записи на прием можно позвонить по телефону
+7 (747)Показать телефон
.

Где принимает:

3 видеоотзыва
7 работ в портфолио
Опыт 8 лет
11 сертификатов

Отзывы о враче Полуева Валерия Владимировна

Пациенты отмечают:
Профессионализм
Подробные объяснения
Тщательный осмотр
Аккуратность
Лечение помогло
Почему нашим отзывам можно доверять?
2 апреля 2026 г.
1 2 3 4 5
Ставила виниры в этой клинике 3 года назад у Валерии Владимировны — до сих пор очень довольна результатом. Всё выглядит естественно, ничего не беспокоит, всё сделано качественно. Очень понравилось отношение и сама атмосфера в клинике — было спокойно и комфортно. Смело рекомендую!
Здравствуйте! Благодарим вас за такой тёплый отзыв и доверие! Очень приятно слышать, что вы остались довольны результатом и внимательным подходом нашего врача. Всегда будем рады видеть вас снова в нашей клинике! С уважением, Команда Dr. Poluyev dental clinic
    Помогите другим сделать правильный выбор — оставьте свой отзыв о докторе
    Написать отзыв

    Услуги врача (63)

    Диагностика
    Рентген зубов
    от 10 000 ₸
    Консультация стоматолога
    от 15 000 ₸
    Консультация ортодонта
    от 15 000 ₸
    Еще услуги
    Эстетическая стоматология
    Отбеливание зубов
    от 124 000 ₸
    Установка виниров
    от 200 000 ₸
    Протезирование зубов
    Установка коронки на зуб
    Ремонт зубных протезов
    Установка адгезивного мостовидного протеза
    Еще услуги
    Ортодонтия
    Установка брекетов
    от 700 000 ₸
    Снятие брекетов
    Установка элайнеров
    от 2 400 000 ₸
    Еще услуги
    Пародонтология
    Плазмолифтинг десен
    от 40 000 ₸
    Детская стоматология
    Удаление зубов у детей
    Удаление зубов под наркозом у детей
    Лечение молочных зубов
    Еще услуги
    Все цены носят ознакомительный характер. Точную цену вы сможете получить только после консультации специалиста.
    Звоните по телефону:
    +7 (747)Показать телефон

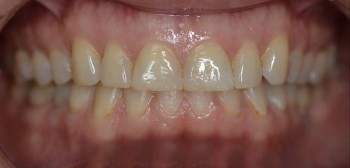
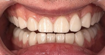
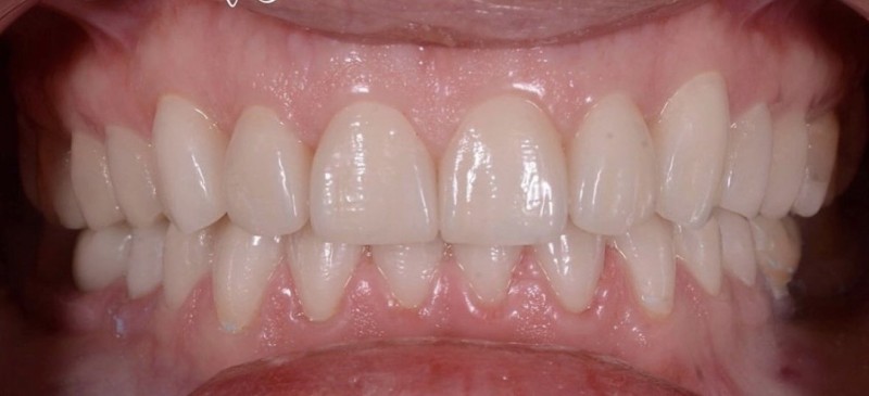
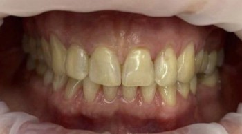
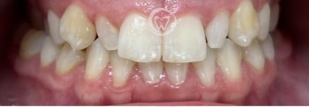
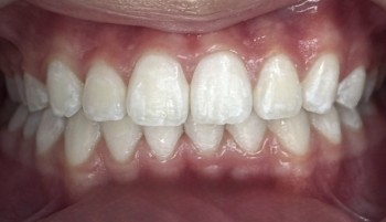
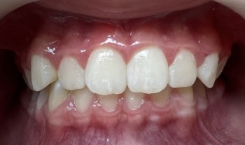
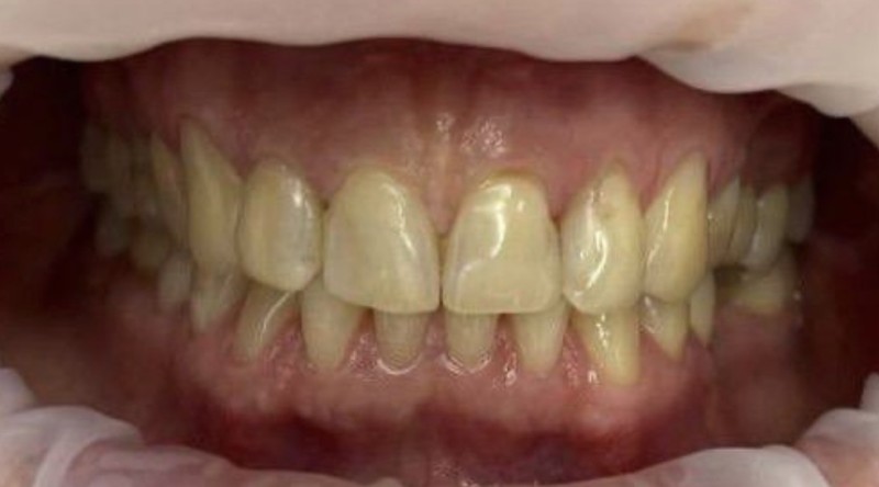
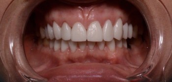
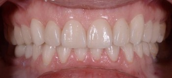
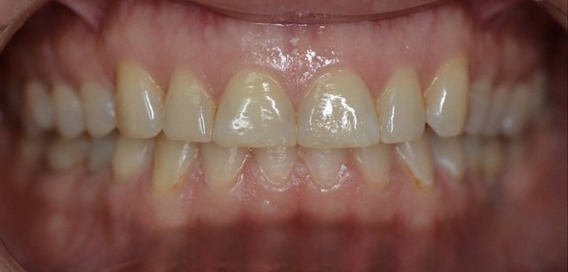
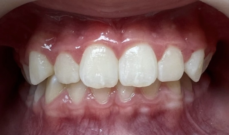
    Полуева Валерия Владимировна: портфолио (7)