Шмельцер Виталий Артурович — цены, отзывы, стаж — Принимает в Рудном

Шмельцер Виталий Артурович

Шмельцер Виталий Артурович - фотография
стоматолог-терапевт
стоматолог-ортопед
стоматолог-хирург
стоматолог-имплантолог
Стаж 12 лет
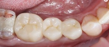
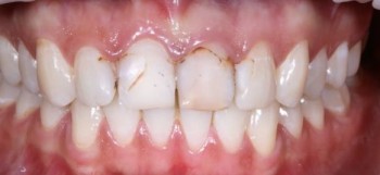
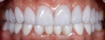
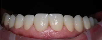
Шмельцер Виталий Артурович принимает в «Стоматологический центр PICASSO» в Рудном. Стаж 12 лет. Специализируется на терапии, ортопедии, хирургии и имплантологии. Имеет 4 работы до/после в портфолио. Для уточнения дополнительной информации о специалисте или записи на прием можно позвонить по телефону
+7 (747)Показать телефон
.

Где принимает:

Опыт 12 лет
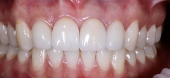
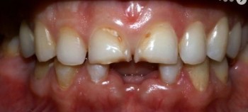
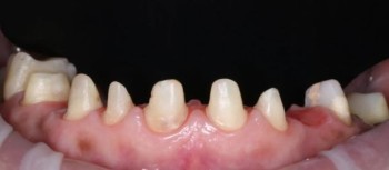
4 работы в портфолио

Шмельцер Виталий Артурович: портфолио (4)

Отзывы о враче Шмельцер Виталий Артурович

Почему нашим отзывам можно доверять?
2 июня 2025 г.
1 2 3 4 5
Отличный доктор. Специалист своего дела. Подходит к решению зубной проблемы рационально и тщательно. Спасибо Виталий Артурович за возможность улыбаться
    Помогите другим сделать правильный выбор — оставьте свой отзыв о докторе
    Написать отзыв