Акимжанова Асема Ринатовна — цены, отзывы, стаж — Принимает в Астане

Акимжанова Асема Ринатовна

Акимжанова Асема Ринатовна - фотография
стоматолог-терапевт
стоматолог-эндодонтист
Стаж 7 лет
Акимжанова Асема Ринатовна принимает в «Стоматология DIAMOND STAR» в Астане. Стаж 7 лет. Специализируется на терапии и эндодонтическом лечении, по которым клиника оказывает 10 услуг. Имеет 5 работ до/после в портфолио. Квалификация специалиста подтверждена 15 лицензиями, сертификатами и наградами. Для уточнения дополнительной информации о специалисте или записи на прием можно позвонить по телефону
+7 (701)Показать телефон
.

Где принимает:

Опыт 7 лет
15 сертификатов
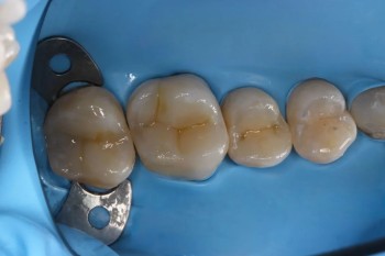
5 работ в портфолио

Акимжанова Асема Ринатовна: портфолио (5)

    Помогите другим сделать правильный выбор — оставьте свой отзыв о докторе
    Написать отзыв

    Услуги стоматолога в других клиниках

    Терапевтическая стоматология
    Лечение кариеса от 15 000 ₸ до 65 000 ₸
    Лечение пульпита от 28 000 ₸ до 150 000 ₸
    Еще услуги