Айгуль Мухамедовна — цены, отзывы, стаж — Принимает в Астане

Айгуль Мухамедовна

Айгуль Мухамедовна - фотография
стоматолог-ортодонт
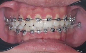
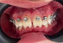
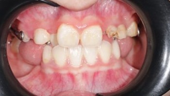
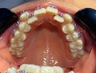
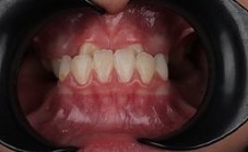
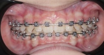
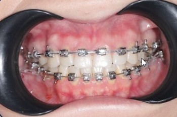
Айгуль Мухамедовна принимает в «Стоматология DENTAL TIME» в Астане. Специализируется на ортодонтии, по которой клиника оказывает 16 услуг. Имеет 9 работ до/после в портфолио. Для уточнения дополнительной информации о специалисте или записи на прием можно позвонить по телефону
+7 (747)Показать телефон
.

Где принимает:

Айгуль Мухамедовна: портфолио (9)

    Помогите другим сделать правильный выбор — оставьте свой отзыв о докторе
    Написать отзыв

    Услуги стоматолога в других клиниках

    Ортодонтия
    Установка брекетов от 90 000 ₸ до 587 000 ₸
    Установка пластинок на зубы от 85 000 ₸ до 180 000 ₸
    Еще услуги