Абылкалыков Болат Базылбекович — цены, отзывы, стаж — Принимает в Астане

Абылкалыков Болат Базылбекович

Абылкалыков Болат Базылбекович - фотография
стоматолог-ортопед
Стаж 27 лет
Абылкалыков Болат Базылбекович принимает в «Цифровая стоматология DENT ISS» в Астане. Стаж 27 лет. Специализируется на ортопедии, по которой клиника оказывает 3 услуги. Для уточнения дополнительной информации о специалисте или записи на прием можно позвонить по телефону
+7 (777)Показать телефон
.

Где принимает:

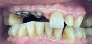
1 работа в портфолио
Опыт 27 лет

Абылкалыков Болат Базылбекович: портфолио (1)

    Помогите другим сделать правильный выбор — оставьте свой отзыв о докторе
    Написать отзыв

    Услуги стоматолога в других клиниках

    Эстетическая стоматология
    Установка виниров от 90 000 ₸ до 300 000 ₸
    Наращивание зубов от 20 000 ₸ до 80 000 ₸
    Протезирование зубов
    Установка коронки на зуб от 12 000 ₸ до 250 000 ₸
    Виды протезов
    Еще услуги