Фото до и после по услуге Установка брекетов в клиниках Алматы

Фотографии до и после: Установка брекетов

На странице представлено портфолио стоматологий Алматы с фото работ до и после исправления прикуса брекетами. Мы публикуем результаты разных клинических случаев: от скученности зубов и диастем до сложных ортодонтических аномалий. В каждом случае показан реальный прогресс — от начального состояния зубов до финального результата после снятия брекетов и исправления прикуса. Поэтому вы можете наглядно увидеть, как меняется положение зубов и общая эстетика улыбки. Изучите результаты работ до после и выберите подходящую клинику в Алматы.

Стоматологическая клиника DEMOKRAT (ДЕМОКРАТ)

Установка брекетов

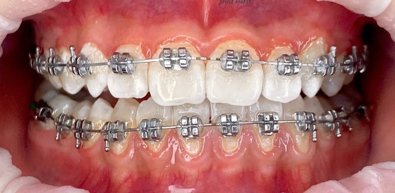
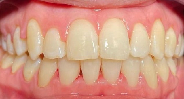
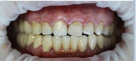
Врач: Давыдова Т.И Вид работы : лечение на брекет-системе 13 мес. Жалобы: Эстетический вид зубов

Доктор: Давыдова Татьяна Игоревна

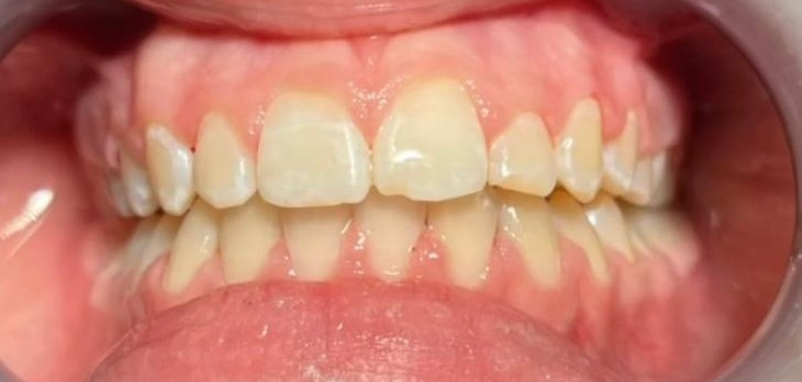
Установка брекетов damon

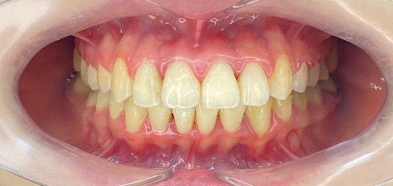
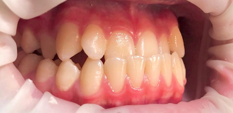
Жалобы: пациент обратился с жалобами на скученность зубов, искривление зубов, на эстетический вид зубов. Вид работы: самолигирующие металлические брекеты фирмы «DAMON»

Доктор: Давыдова Татьяна Игоревна

Все работы клиники
DR. POLUYEV DENTAL CLINIC (ДОКТОР ПОЛУЕВ ДЕНТАЛ КЛИНИК)

Установка брекетов

Сплинт-терапия, ортодонтическое лечение

Доктор: Полуев Владимир Иванович

Все работы клиники
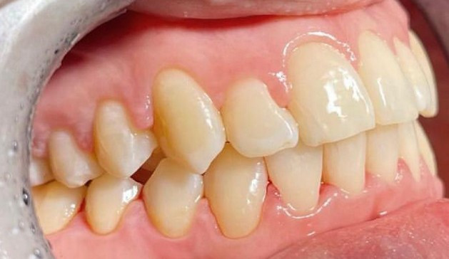
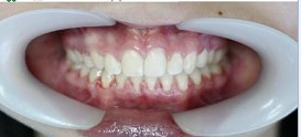
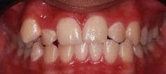
Стоматология VITADENT (ВИТАДЕНТ)

Установка брекетов

Установка брекетов

Установка брекетов

Установка металлических брекетов

Установка брекетов

Установка брекетов

Все работы клиники
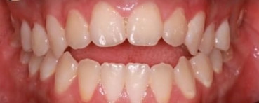
Стоматология DENTALPARK (ДЕНТАЛПАРК)

Установка брекетов

Установка брекетов

Установка брекетов

Все работы клиники