Фото до и после по услуге Установка виниров в клиниках Алматы

Фотографии до и после: Установка виниров

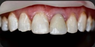
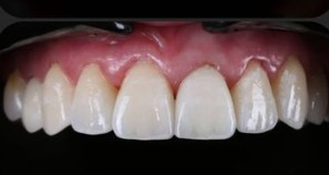
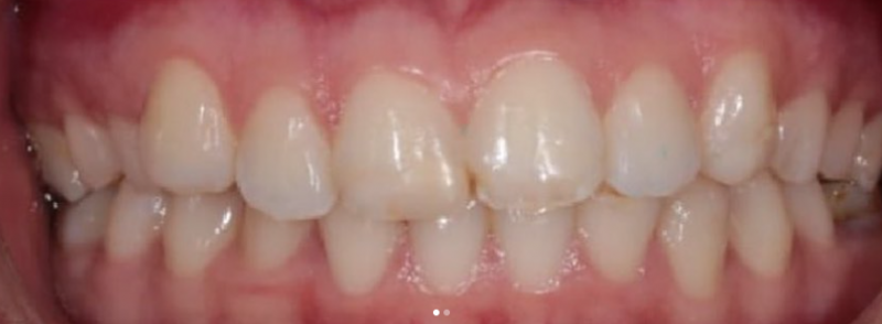
На странице представлено портфолио стоматологий Алматы с фото работ до и после установки виниров. Здесь вы можете видеть как процедура меняет цвет и форму зубов, скрывает сколы, щели между зубами и корректирует незначительные неровности. Изучите работы до и после установки виниров в стоматологиях Алматы, чтобы оценить профессионализм специалистов и выбрать клинику, которой можно доверить свои зубы.

Стоматологические клиники экспертного класса DENT-LUX (ДЕНТ-ЛЮКС)

Установка виниров

Установка виниров

Установка виниров

Установка виниров

Все работы клиники
DR. POLUYEV DENTAL CLINIC (ДОКТОР ПОЛУЕВ ДЕНТАЛ КЛИНИК)

Установка виниров

Виниры E.MAX

Доктор: Полуев Владимир Иванович

Установка виниров

Виниры E.MAX

Доктор: Полуев Владимир Иванович

Установка виниров

Виниры E.MAX

Доктор: Полуев Владимир Иванович

Все работы клиники
Стоматологический центр SDS DR.BAYRAM-ALI (CДС ДОКТОР БАЙРАМ АЛИ)

Установка виниров

Установка виниров

Установка виниров

Все работы клиники
Стоматология DENTAL PLANET (ДЕНТАЛ ПЛЭНЕТ)

Установка виниров

Установка виниров

Все работы клиники